Karolinska Institutet
Utbildningswebbens startsidaStartsida Blod- & benmärgsmorfologi
 




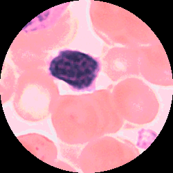
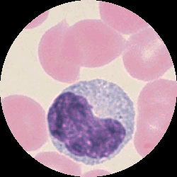
Vilken av nedanstående celltyper visas här?


 

it-support@neuro.ki.se
Institutionen för neurovetenskap
Karolinska Institutet